CONDIÇÕES DE SAÚDE BUCAL DE ESCOLARES DE ZONA RURAL DO RIO GRANDE DO SUL
DOI:
https://doi.org/10.5212/Rev.Conexao.v.14.i1.0016Parole chiave:
Assistência à saúde, escolares, cárie dentária, fluorose dentária.Abstract
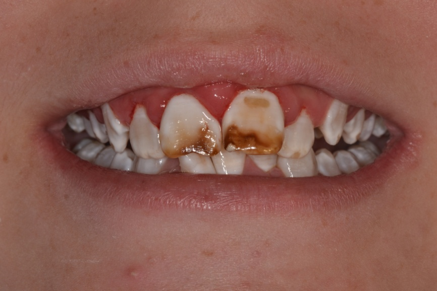
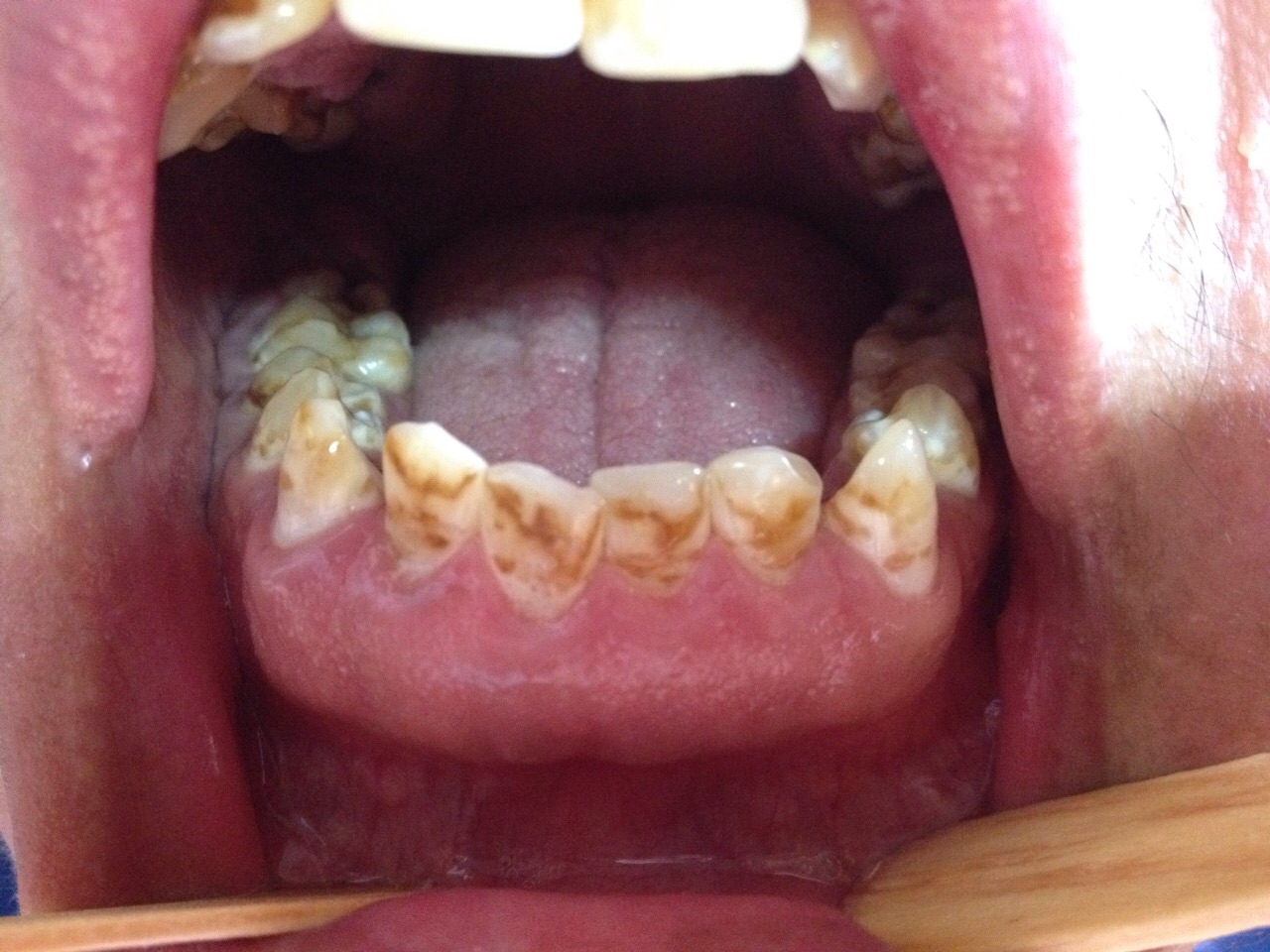
Às áreas rurais brasileiras, apresentam os piores indicadores de renda, saneamento básico e de níveis de escolaridade quando comparadas às localizações urbanas e, este fato pode configurar um importante agravo à saúde geral e bucal de seus moradores. Deste modo, diante deste contexto o objetivo do presente trabalho foi descrever os resultados de uma atividade de extensão interdisciplinar em saúde que avaliou as condições de saúde bucal de estudantes de idade entre 5 a 15 anos, residentes em uma zona rural do estado do Rio Grande do Sul e avaliar a concentração de íons de fluoreto nas águas de abastecimento naturais da região. Durante um mutirão de saúde de uma extensão universitária, foram realizadas avaliações odontológicas, preenchimento do questionário de nível sócio econômico dos cuidadores dos escolares e coleta da água em 3 poços artesianos da região.. Constatou-se que aproximadamente 50% dos escolares apresentaram lesões cariosas, placa dentária, sangramento gengival e um grau severo de fluorose. Eles estavam desprovidos de assistência odontológica, preventiva, curativa e viviam sem saneamento básico adequado. Os teores de íons de fluoreto nas águas de abastecimento natural não se encontravam dentro dos padrões de normalidade.
Downloads
Riferimenti bibliografici
AGÊNCIA BRASIL. Laboratório de Demografia e Estudos Populacionais. Cerca de 16,2 milhões de brasileiros são extremamente pobres: a maioria é jovem, negra e nordestina. Brasil, 2011. Disponível em: <http://www.ufjf.br/ladem/2011/05/05/cerca-de-162-milhoes-de-brasileiros-sao-extremamente-pobres-a-maioria-e-jovem-negra-e-nordestina/>. Acesso em: 21 jun. 2017.
BALDANI, M. H.; VASCONCELOS, G. A.; FERREIRA, L. J. Associação do índice CPO-D com indicadores socioeconômicos e de provisão de serviços odontológicos no Estado do Paraná, Brasil._Cad. Saúde Pública, Rio de Janeiro, v. 20, p. 143-52, mai. 2004.
BRASIL. Ministério da Saúde. Portaria n. 635, de 26 de dezembro de 1975. Diário Oficial [da] República Federativa do Brasil, Brasília, 30 jan. 1976. Disponível em: <http://lproweb.procempa.com.br/pmpa/prefpoa/sms/usu_doc/portaria635.pdf>. Acesso em: 6 mai. 2017.
BRASIL. Ministério da Saúde. Portaria nº. 2.914, de 12 de dezembro de 2011. Diário Oficial [da] República Federativa do Brasil, Brasília, 14 dez. 2011. Seção 1, p. 39. Disponível em: <http://site.sabesp.com.br/uploads/file/asabesp_doctos/kit_arsesp_portaria2914.pdf>. Acesso em: 6 mai. 2017.
BRASIL. Ministério da Saúde. Secretaria de Atenção à Saúde. Secretaria de Vigilância em Saúde. Departamento de Atenção Básica. Coordenação Geral de Saúde Bucal. Projeto SBBrasil 2003. Brasília, 2004. Disponível em: <http://cfo.org.br/wp-content/uploads/2009/10/04_0347_M.pdf>. Acesso em: 6 jun. 2017.
BRASIL. Ministério da Saúde. Secretaria de Atenção à Saúde. Secretaria de Vigilância em Saúde. Departamento de Atenção Básica. Coordenação Geral de Saúde Bucal. Projeto SBBrasil 2010. Disponível em: <http://dab.saude.gov.br/CNSB/sbbrasil/arquivos/projeto_sb2010_relatorio_final.pdf>. Acesso em: 26 maio 2017.
BRASIL. Ministério do Desenvolvimento Social e Combate à Fome. Brasil sem miséria atenderá 16,2 milhões. Portal Brasil, Brasília, 3 mai. 2011. Disponível em: <http://www.brasil.gov.br/governo/2011/05/brasil-sem-miseria-atendera-16-2-milhoes>. Acesso em: 6 jun. 2017.
CAMARGO, M. G. A.; NATERA, A. Nivel de conocimiento de defectos de esmalte y su tratamiento entre odontopediatras. Rev. Odontopediatr. Latinoam., v. 7, no. 1, p. 25-35, jan./jun. 2017. Artículo 4. Disponível em: <http://www.revistaodontopediatria.org/ediciones/2017/1/art-4/>. Acesso em: 6 jun. 2017.
CAMPOS, L. et al. Conhecimento de mães de diferentes classes sociais sobre saúde bucal no município de Cocal do Sul (SC). Rev. Sul-Bras. Odontol., Joinville, v. 7, n. 3, p. 2872-2895, ago. 2010.
CURY, A. J.; TABCHOURY, C. P. Determination of appropriate exposure to fluoride in non-EME countries in the future._J. Appl. Oral Sci., Bauru, v. 11, n. 2, p. 83-95, jun. 2003.
FERNANDES, E. Desigualdades em campo. Rev. Educ., São Paulo, 10 set. 2011. Disponível em: <http://www.revistaeducacao.com.br/desigualdades-em-campo/>. Acesso em: 6 jun. 2017.
FIGUEIREDO, M. C. et al. Descrição do padrão alimentar e da saúde bucal de crianças do sul do Brasil. RFO, Passo Fundo, v. 19, n. 3, p. 329-336, set./dez. 2014b.
FIGUEIREDO, M. C. et al. Saúde bucal de moradores de um bairro pobre de Xangri-Lá, RS, Brasil. ConScientiae Saúde, São Paulo, v. 10, n. 2, p. 292-298, jun. 2011.
FIGUEIREDO, M. C. et al. Saúde bucal de pessoas em situação de pobreza extrema residentes em um município no Sul do Brasil._UNOPAR Cient. Ciênc. Biol. Saúde, v. 16, p. 45-50, dez. 2014a.
FURTADO, A.; TRAEBERT, J. L.; MARCENES, W. S. Prevalência de doenças bucais e necessidade de tratamento em Capão Alto, Santa Catarina._Rev. ABO Nac., Rio de Janeiro, v. 7, p. 226-230, jul. 1999.
GAMBHIR, R. S. et al. Impact of school based oral health education programmes in India: a systematic review. J. Clin. Diag. Res., Delhi, v. 7, no. 12, p. 3107-3110, dez. 2013.
GUERRA, L. M. Cárie e fluorose: relação com variáveis socioeconômicas e demográficas em municípios com diferentes concentrações de flúor nas águas de abastecimento público. 2007. 84 f. Dissertação (Mestrado), Faculdade de Odontologia de Piracicaba, Universidade Estadual de Campinas, Piracicaba, 2007.
IBGE. Instituto Brasileiro de Geografia e Estatística. Sinopse do censo demográfico 2010 Brasil. Brasília, 2010. Disponível em: <http://www.censo2010.ibge.gov.br/sinopse/index.php?dados=11&uf=00>. Acesso em: 8 jun. 2017.
KUMAR, J. V. et al. Dean’s fluorosis index: an assessment of examiner reliability. J. Public Health Dent., Raileigh, v. 60, no. 1, p. 57-59, 2000.
LOPEZ, I. Y. et al. Dental caries in preschoolers from communes with fluoridated and non-fluoridated public water supplies in Chile._Rev. Odonto Ciência., v. 25, p. 20-24, fev. 2010.
MACHADO, D. L.; KNORST, P. A. R. A gestão democrática presente na escola do campo: o caso da Escola de Ensino Fundamental Linha Biguá – SC. Unoesc & Ciência – ACHS, Joaçaba, v. 1, n. 2, p. 111-120, jul./dez. 2010.
MARIMON, M. P. C. O flúor nas águas subterrâneas da formação Santa Maria, na regia de Santa Cruz e Venâncio Aires, RS, Brasil. 2006. 246 f. Tese (Doutorado), Instituto de Geociências, Universidade Federal do Rio Grande do Sul, Porto Alegre, 2006.
MELLO, T. R. C.; ANTUNES, J. L. F. Prevalência de cárie dentária em escolares da região rural de Itapetininga, São Paulo, Brasil._Cad. Saúde Pública, Rio de Janeiro, v. 20, n. 3, p. 829-835, jul. 2004.
NARVAI, P. C. Fluoretação das águas: razões para prosseguir. São Paulo: FUNDAP/SES-SP, 1997.
PONTE, C. I. R. V. Identificação e discussão do processo de produção/construção do conhecimento a partir das ações de extensão realizadas pelos professores da FAMED/UFRGS no período 2000-2004. 2008. 100 f. Tese (Doutorado), Programa de Pós-Graduação em Cardiologia e Ciências Cardiovasculares, Faculdade de Medicina, Universidade Federal do Rio Grande do Sul, Porto Alegre, 2008.
RIGO, L. et al. Estudo sobre a fluorose dentária num município do Sul do Brasil. Ciênc. Saúde Colet., Rio de Janeiro, v. 15, p. 1439-1448, 2010.
RIO GRANDE DO SUL. Conselho Estadual de Educação (CEED). Resolução CEED, nº 307, de 31 de março de 2010. Porto Alegre, 2010. Disponível em: <http://www.ceed.rs.gov.br/conteudo/9379/qual-a-idade-minima-exigida-para-ingressar-no-1%C2%B0-ano-do-ensino-fundamental%3F-qual-a-idade-de-corte%3F>. Acesso em: 6 jun. 2017.
RIO GRANDE DO SUL. Secretaria Estadual da Saúde. Coordenadoria de Atenção Integral à Saúde. Divisão de Vigilância Sanitária. Portaria n.º 10/99, 1999. Porto Alegre, 1999. Disponível em: <http://lproweb.procempa.com.br/pmpa/prefpoa/sms/usu_doc/portaria_10_99.pdf>. Acesso em: 6 mai. 2017.
SEMINÁRIO VIGILÂNCIA DA FLUORETAÇÃO DE ÁGUAS (2011, São Paulo). Consenso técnico sobre classificação de águas de abastecimento público segundo o teor de flúor. São Paulo: USP. Faculdade de Saúde Pública. Centro Colaborador do Ministério da Saúde em Vigilância da Saúde Bucal (CECOL), 2011. Disponível em: <http://www.cecol.fsp.usp.br/dcms/uploads/arquivos/1398177715_ CECOL-USP-ClassificacaoAguasSegundoTeorFluor-DocumentoConsensoTecnico-2011.pdf>. Acesso em: 28 jun. 2017.
SPOLIDORIO, D. M. P. et al. Dental caries status in decíduos and permanent dentition of Brazilian children aged 6-8 years with a socio-economic base. Braz. J. Oral Sci., Piracicaba, v. 2, p. 147-150, 2003.
SUCKLING, G. W. Developmental defects of enamel - historical and present-day perspectives of their pathogenesis. Adv. Dent. Res., v. 3, n. 2, p. 87-94, 1989.
TOASSI, R. F. C.; ABBEG, C. Fluorose dentária em escolares de um município da serra gaúcha, Rio Grande do Sul, Brasil. Cad. Saúde Pública, Rio de Janeiro, v. 21, n. 2, p. 652-655, abr. 2005.
TOASSI, R. F. C.; PETRY, P. C. Motivação no controle do biofilme dental e sangramento gengival em escolares. Rev. Saúde Pública, São Paulo, v. 36, n. 5, out. 2002.
Downloads
Additional Files
Pubblicato
Fascicolo
Sezione
Licenza
a) Os autores mantêm os direitos autorais e concedem à revista o direito de primeira publicação, com o trabalho simultaneamente licenciado sob a Creative Commons Attribution License que permite o compartilhamento do trabalho com reconhecimento da sua autoria e publicação inicial nesta revista.
b) Ao submeter um artigo à Revista Conexão UEPG e tê-lo aprovado os autores concordam em ceder, sem remuneração, os seguintes direitos à Revista: os direitos de primeira publicação e a permissão para que a Revista redistribua esse artigo e seus metadados aos serviços de indexação e referência que seus editores julguem apropriados.
c) Os leitores são livres para transferir, imprimir e utilizar os artigos publicados na Revista, desde que haja sempre menção explícita ao(s) autor (es) e à Revista Conexão UEPG e que não haja qualquer alteração no trabalho original. Qualquer outro uso dos textos precisa ser aprovado pelo(s) autor (es) e pela Revista.

Este obra está licenciado com uma Licença Creative Commons Atribuição 4.0 Internacional.